

About
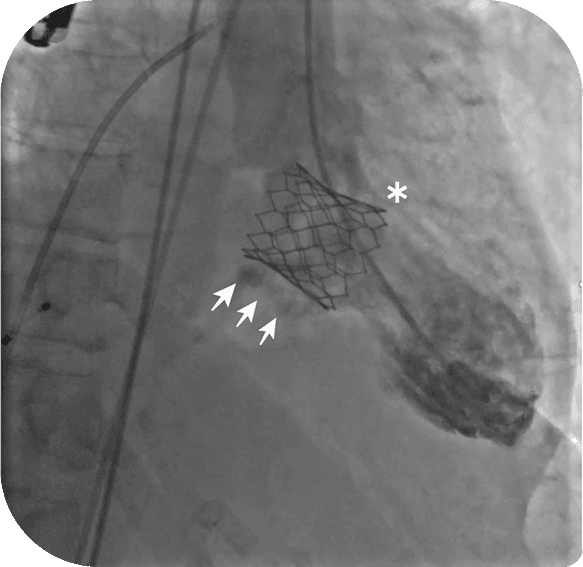
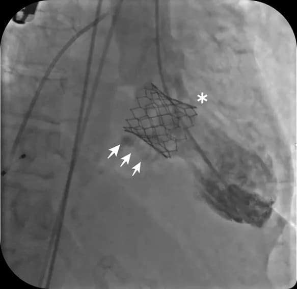
TMVR or Transcatheter Mitral Valve Replacement is a minimally invasive procedure for patients with a severely damaged mitral valve or mitral regurgitation, a condition where the mitral valve doesn't close properly, causing blood to leak backward into the heart. The TMVR procedure in Mumbai involves delivering a new valve through a catheter, usually via the femoral vein in the thigh, and implanting it within the existing mitral valve without the need to open the chest.
Sometimes, a less invasive alternative known as the MitraClip procedure may be used for patients unsuitable for full valve replacement. TMVR in Mumbai is ideal for high-risk patients such as the elderly, those with prior heart surgeries, or individuals with multiple medical conditions. It improves heart function, reduces symptoms like breathlessness or fatigue, and shortens hospital recovery time.
Who It’s For?
Patients with a history of open-heart surgery who face increased risks with a repeat procedure
Older adults with frailty or age-related conditions that make open surgery unsafe
Conditions like chronic kidney disease, COPD, or diabetes that raise surgical risk
Patients with severe backflow of blood or a failing surgical mitral valve prosthesis may need valve-in-valve TMVR

Benefits of TMVR
No need for traditional open-heart surgery or chest opening
Effectively reduces valve leakage and enhances cardiac efficiency
Most patients are discharged within 2-5 days
Less pain, lower risk of infection, and quicker return to daily activities
Lower complication rates compared to conventional surgery
No sternotomy required, which is especially beneficial for frail or elderly patients
Outcomes of Procedure Delay
Long-term mitral regurgitation can cause permanent high pressure in the lungs.
Ongoing regurgitation increases the risk of developing irregular heart rhythms.
Delayed treatment causes the upper heart chamber to enlarge and function poorly.
Leakage worsens over time, making the valve harder to replace.
Anatomical changes may make minimally invasive TMVR surgery/procedure no longer viable.
Abnormal blood flow raises the chance of stroke-causing clots.
The heart weakens over time due to persistent backflow.


Procedure Timeline
Hospital admission and pre-procedure advanced mitral imaging (3D TEE, CT) to assess valve anatomy
TMVR procedure performed via catheter approach through the femoral vein, often under conscious sedation
Post-procedure monitoring and recovery in the ICU; most patients are discharged with aftercare instructions, some may require extended observation due to arrhythmia or mitral-specific complications
Rest at home with light activity; your first follow-up may include checks for residual leakage or atrial fibrillation.
Gradual return to routine activities; lifestyle adjustments and regular monitoring as some patients may need longer recovery if prior MitraClip or valve anatomy is complex
Resume daily life; continue follow-up checks for valve function, interaction with prior mitral interventions, and maintain heart health practices
Procedure Follow Up
Over time, surgically implanted bioprosthetic mitral valves can wear out. This is called structural valve degeneration and typically occurs 8–12 years after the original surgery. The tissue leaflets may stiffen, calcify, or tear, leading to narrowing (stenosis) or leakage (regurgitation).
When this happens, Valve-in-Valve TMVR offers a minimally invasive alternative to repeat open-heart surgery. Instead of replacing the old valve entirely, a new transcatheter valve is placed inside the existing one.

What Sets us Apart
Our TMVR specialists in Mumbai have extensive experience handling complex and high-risk TMVR cases.
Cardiologists, surgeons, imaging experts, anesthetists, and specialized nurses work together to provide world-class care.
We offer complete evaluation, diagnosis, and care for patients with complex mitral valve disease.
Real-time 3D echocardiography and cardiac CT help in accurate valve sizing and positioning.
Transparent pricing and access to high-quality care in a cost-effective manner.
Our outcomes and care make us a go-to center for those seeking the best TMVR surgeon/operator in Mumbai.
Patient Success Stories
“Doctors performed my father’s TAVI procedure successfully and explained everything with great care. Truly grateful for his expertise and compassionate team.”
MRS. PREETI MANOHARAN
FAQs