Procedures Overview
TEER Procedure in Mumbai – Step by Step

Before undergoing the MitraClip procedure in Mumbai, patients undergo:
- Echocardiography
- Transoesophageal echocardiography (TEE)
- Cardiac imaging assessment
- Blood tests
- ECG


About
If you or your loved one has received a diagnosis of severe mitral regurgitation, it is crucial to seek early treatment. MitraClip in Mumbai offers a minimally invasive option for repairing a leaking mitral valve without the need for open-heart surgery.
A specialised team of interventional cardiologists, experienced in complex valve interventions, assesses patients at Heart Valve Experts. Collectively, the team has performed 200+ MitraClip (mTEER) procedures, making it one of the highest-volume Clip device procedures in Mumbai.
We provide comprehensive consultation, procedural planning, and long-term follow-up for individuals seeking the MitraClip procedure in Mumbai and across India.
Why Choose Us
When searching for the best MitraClip surgeon in Mumbai, expertise in structural heart interventions and access to advanced imaging facilities are essential.
Heart Valve Experts provides:
Each patient is carefully evaluated before proceeding with MitraClip surgery in Mumbai to ensure clinical suitability and optimal outcomes.

Who it’s for?
Patients undergoing evaluation for MitraClip in Mumbai are treated at fully equipped cardiac centres featuring:
All consultations are appointment-based, with guidance provided for scheduling and directions.

Loading...

About
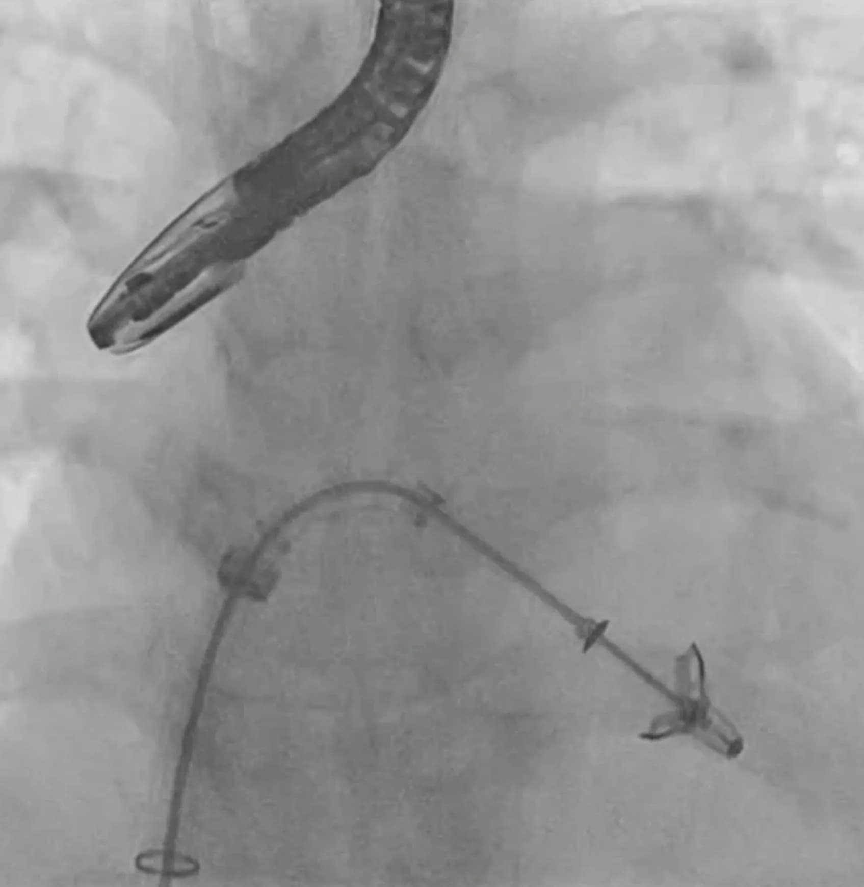
MitraClip is a minimally invasive device used to treat severe mitral regurgitation. It is a form of Transcatheter Edge-to-Edge Repair (TEER), a catheter-based technique designed to reduce mitral valve leakage without open-heart surgery.
During the MitraClip procedure in Mumbai, a small clip is delivered to the mitral valve via a catheter inserted through a vein in the groin. The device helps the valve leaflets close more effectively, reducing leakage and improving symptoms.
For patients considered high risk for open surgery, MitraClip surgery in Mumbai provides a safer alternative with a shorter recovery time.
Who it’s For
MitraClip surgery in Mumbai is generally recommended for patients with:
Eligibility is determined through detailed imaging, including TEE and 3D echocardiography, along with heart team evaluation before proceeding with the MitraClip procedure in Maharashtra.

Procedures Overview

Before undergoing the MitraClip procedure in Mumbai, patients undergo:
Why Choose MitraClip
About
The cost of MitraClip in Mumbai generally ranges between ₹12 lakhs to ₹18 lakhs, depending on:
Insurance coverage and applicable government schemes in Maharashtra may provide financial support depending on policy terms.

Patient Success Stories
“Doctors performed my father’s TAVI procedure successfully and explained everything with great care. Truly grateful for his expertise and compassionate team.”
MRS. PREETI MANOHARAN
FAQs

If you or a loved one has severe mitral regurgitation, early evaluation is important.
Heart Valve Experts provides structured, medically guided assessments to determine whether MitraClip in Mumbai is the appropriate treatment option based on your clinical condition.